Nucleus accumbens: Læring, motivation og lykke


Skrevet og kontrolleret af psykolog Sergio De Dios González
At finde motivation til at nå et mål. At have troen på, at yderligere indsats er anstrengelsen værd, på trods af at have fejlet. Det intense velbehag ved et kys. Fornøjelsen ved at nyde din yndlingsret. Alle disse ting, der er så betydningsfulde og vigtige i dit daglige liv, bliver håndteret af nucleus accumbens.
Dette område i din sofistikerede hjerne er lige så interessant, som det er exceptionelt. De fleste folk kender ikke til eksistensen af visse regioner i hjernen, indtil nogen, de kender, kommer ud for en ulykke. Det er dog meget vigtigt at lære lidt mere om, hvordan din hjerne fungerer under normale omstændigheder.
At forstå funktionen af hver region af hjernen vil gøre det muligt for dig at forstå din egen adfærd, motivation og impulser. Derfor vil vi kigge nærmere på nucleus accumbens, der også er kendt som hjernens lykkecenter, i dagens indlæg.
Hver hemisfære i hjernen har en nucleus accumbens. De former dit komplekse belønningssystem. Takket være dette område i hjernen føler du velbehag, lagrer ny viden og finder den motivation, du har brug for i dit daglige liv.
Nucleus accumbens er den fascinerede hjernestruktur, der er grundlaget for dit lykke- og belønningssystem. Uden dette ville du miste styrken, frigørelsen og den ustoppelige energi, der gør dig menneskelig. Alle menneskelige væsener stræber efter at møde deres personlige mål, emotionelle mål, seksuelle behov, ønsket efter viden og andre motivationselementer.

Hvad er nucleus accumbens?
Nucleus accumbens er en region i hjernen, som kun få folk kender til. Selv inden for det neurovidenskabelige felt, er der stadig mange spørgsmål. Vi ved, at dets primære funktion er at aktivere motivationssystemet.
Foruden blot at aktivere dette system driver det også adfærd. Det vender den vilje, det sus af optimisme og den tørst efter sejr, du ofte føler, til adfærdsmæssige responser.
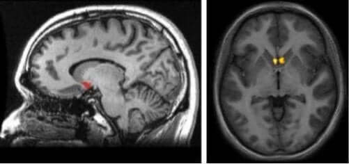
Nu stiller du måske dig selv spørgsmålet, hvor denne hjernestruktur er lokaliseret. For at give dig en idé om det, skal du visualisere det subkortikale område (under cortex) lige ved forbindelsespunktet mellem caudate nucleus, putamen og septum.
Et af de mest signifikante aspekter ved nucleus accumbens er dets lokalisering, da det er en del af den dopaminergiske sti i hjernen. Det er den såkaldte mesolimbiske sti. Den står for at stimulere dig, når end din hjerne mener, du oplever en behagelig og tilfredsstillende oplevelse.
Som vi har indikeret tidligere, har denne struktur et par hemmeligheder, der undrer neurologer. Selv indtil for nyligt troede eksperter, at nucleus accumbens kun var sammenkoblet med tilfredsstillende oplevelser.
Vi ved dog i dag, at denne region også er forbundet med ubehagelige situationer. Når du oplever noget, du ikke kan lide, så “aktiverer” nucleus accumbens motivation for at flygte fra denne situation.
Derved spiller dette område en central rolle i din stræben for overlevelse, da det driver dig frem mod det, der er til gavn for dig, og afholder dig fra det, der skader dig.

Neurobiologien bag nucleus accumbens
Hver af hjernens hemisfærer har sin egen nucleus accumbens. På den måde når belønningssystemet, der håndteres gennem dopamin, hver del af hjernen. Denne struktur er også en del af de basale ganglier. Derfor er en af de mest betydningsfulde karaktertræk ved nucleus accumbens det omfang, hvorved det er forbundet med andre dele af hjernen.
Faktisk er den mest betydningsfulde forbindelse den, der har at gøre med det limbiske system. Husk på, at dette system består af mange forskellige strukturer: Thalamus, hypothalamus og amygdala. Det sidstnævnte er ansvarligt for reguleringen af din emotionelle verden.
Lad os nu tale om, hvordan nucleus accumbens faktisk etablerer disse betydningsfulde forbindelser ved hjælp af dets sofistikerede anatomiske struktur.
1. Skal
Dette er uden tvivl den mest interessant del af nucleus accumbens. Gennem dens skal etablerer den forbindelser med det limbiske system såvel som frontrallappen. Denne del fungerer faktisk som en bro. Den modtager og sender information. På samme tid optager den og regulerer mængderne af dopamin, serotonin, glutamat osv.

2. Kernen
Det er hjertet af nucleus accumbens. Det, denne region af hjernen gør, er at håndtere motoriske funktioner gennem dens forbindelse med de basale ganglier, substantia nigra og det motoriske cortex.
Det interessante ved dette område er, at det aktiverer de mest følelsesmæssigt betydningsfulde handlinger og bevægelser. Når det er sagt, så står substantia nigra bag, hver gang du føler dig motiveret til at rejse dig fra sofaen og gøre noget.
Hvad er nucleus accumbens’ funktioner?
Vi ved allerede, at nucleus accumbens kontrollerer motivation, velbehag og triumf, og det sætter tingene i bevægelse. Dette område har dog også mange andre funktioner:
- Det hjælper os med at planlægge. På grund af dets forbindelse med hjernebarken, gør det det muligt for os at skabe mål.
- Dets struktur hjælper os med at evaluere situationer. Nucleus accumbens er også sammenkoblet med din emotionelle hukommelse. Derfor hjælper det dig med at analysere visse situationer for at foretage visse ændringer, rette din indsats mod et mål og beslutte, om det er bedst at udsætte visse ændringer eller mål.
- Det hjælper dig med at lære og integrere ny information. Motivation og læring går hånd i hånd. Faktisk ville den simple handling med at forstå, integrere viden i din hjerne og huske ting ikke have nogen mening uden den emotionelle komponent, som nucleus accumbens er involveret i.
- Sex og ernæring. Denne struktur er ikke den eneste relateret til velbehag. Den spiller dog en afgørende rolle (som vi allerede ved) for motivation og det neurokemiske belønningssystem. Det skyldes det faktum, at den er lokaliseret i en dopaminergisk sti. Husk på, at dopamin er en neurotransmitter, der er involveret i velbehag, glæde og afhængighed.
Afslutningsvis stopper hjernen aldrig med at forbløffe os. Dette organ er en perfekt maskine, hvor ethvert lille område har en betydelig funktion. Ikke desto mindre er der ingen del af hjernen, der arbejder alene.
Alle hjernens dele er indbyrdes forbundet, og de afhænger af hinanden for at arbejde sammen i en fascinerende harmoni. Nucleus accumbens er en fantastisk del af denne fascinerende maskine.
At finde motivation til at nå et mål. At have troen på, at yderligere indsats er anstrengelsen værd, på trods af at have fejlet. Det intense velbehag ved et kys. Fornøjelsen ved at nyde din yndlingsret. Alle disse ting, der er så betydningsfulde og vigtige i dit daglige liv, bliver håndteret af nucleus accumbens.
Dette område i din sofistikerede hjerne er lige så interessant, som det er exceptionelt. De fleste folk kender ikke til eksistensen af visse regioner i hjernen, indtil nogen, de kender, kommer ud for en ulykke. Det er dog meget vigtigt at lære lidt mere om, hvordan din hjerne fungerer under normale omstændigheder.
At forstå funktionen af hver region af hjernen vil gøre det muligt for dig at forstå din egen adfærd, motivation og impulser. Derfor vil vi kigge nærmere på nucleus accumbens, der også er kendt som hjernens lykkecenter, i dagens indlæg.
Hver hemisfære i hjernen har en nucleus accumbens. De former dit komplekse belønningssystem. Takket være dette område i hjernen føler du velbehag, lagrer ny viden og finder den motivation, du har brug for i dit daglige liv.
Nucleus accumbens er den fascinerede hjernestruktur, der er grundlaget for dit lykke- og belønningssystem. Uden dette ville du miste styrken, frigørelsen og den ustoppelige energi, der gør dig menneskelig. Alle menneskelige væsener stræber efter at møde deres personlige mål, emotionelle mål, seksuelle behov, ønsket efter viden og andre motivationselementer.

Hvad er nucleus accumbens?
Nucleus accumbens er en region i hjernen, som kun få folk kender til. Selv inden for det neurovidenskabelige felt, er der stadig mange spørgsmål. Vi ved, at dets primære funktion er at aktivere motivationssystemet.
Foruden blot at aktivere dette system driver det også adfærd. Det vender den vilje, det sus af optimisme og den tørst efter sejr, du ofte føler, til adfærdsmæssige responser.
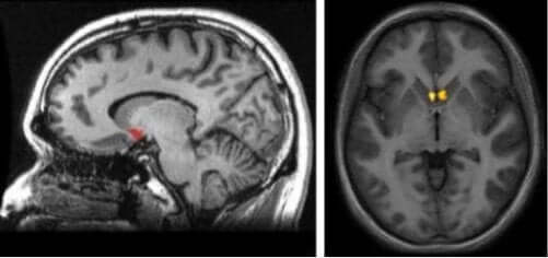
Nu stiller du måske dig selv spørgsmålet, hvor denne hjernestruktur er lokaliseret. For at give dig en idé om det, skal du visualisere det subkortikale område (under cortex) lige ved forbindelsespunktet mellem caudate nucleus, putamen og septum.
Et af de mest signifikante aspekter ved nucleus accumbens er dets lokalisering, da det er en del af den dopaminergiske sti i hjernen. Det er den såkaldte mesolimbiske sti. Den står for at stimulere dig, når end din hjerne mener, du oplever en behagelig og tilfredsstillende oplevelse.
Som vi har indikeret tidligere, har denne struktur et par hemmeligheder, der undrer neurologer. Selv indtil for nyligt troede eksperter, at nucleus accumbens kun var sammenkoblet med tilfredsstillende oplevelser.
Vi ved dog i dag, at denne region også er forbundet med ubehagelige situationer. Når du oplever noget, du ikke kan lide, så “aktiverer” nucleus accumbens motivation for at flygte fra denne situation.
Derved spiller dette område en central rolle i din stræben for overlevelse, da det driver dig frem mod det, der er til gavn for dig, og afholder dig fra det, der skader dig.

Neurobiologien bag nucleus accumbens
Hver af hjernens hemisfærer har sin egen nucleus accumbens. På den måde når belønningssystemet, der håndteres gennem dopamin, hver del af hjernen. Denne struktur er også en del af de basale ganglier. Derfor er en af de mest betydningsfulde karaktertræk ved nucleus accumbens det omfang, hvorved det er forbundet med andre dele af hjernen.
Faktisk er den mest betydningsfulde forbindelse den, der har at gøre med det limbiske system. Husk på, at dette system består af mange forskellige strukturer: Thalamus, hypothalamus og amygdala. Det sidstnævnte er ansvarligt for reguleringen af din emotionelle verden.
Lad os nu tale om, hvordan nucleus accumbens faktisk etablerer disse betydningsfulde forbindelser ved hjælp af dets sofistikerede anatomiske struktur.
1. Skal
Dette er uden tvivl den mest interessant del af nucleus accumbens. Gennem dens skal etablerer den forbindelser med det limbiske system såvel som frontrallappen. Denne del fungerer faktisk som en bro. Den modtager og sender information. På samme tid optager den og regulerer mængderne af dopamin, serotonin, glutamat osv.

2. Kernen
Det er hjertet af nucleus accumbens. Det, denne region af hjernen gør, er at håndtere motoriske funktioner gennem dens forbindelse med de basale ganglier, substantia nigra og det motoriske cortex.
Det interessante ved dette område er, at det aktiverer de mest følelsesmæssigt betydningsfulde handlinger og bevægelser. Når det er sagt, så står substantia nigra bag, hver gang du føler dig motiveret til at rejse dig fra sofaen og gøre noget.
Hvad er nucleus accumbens’ funktioner?
Vi ved allerede, at nucleus accumbens kontrollerer motivation, velbehag og triumf, og det sætter tingene i bevægelse. Dette område har dog også mange andre funktioner:
- Det hjælper os med at planlægge. På grund af dets forbindelse med hjernebarken, gør det det muligt for os at skabe mål.
- Dets struktur hjælper os med at evaluere situationer. Nucleus accumbens er også sammenkoblet med din emotionelle hukommelse. Derfor hjælper det dig med at analysere visse situationer for at foretage visse ændringer, rette din indsats mod et mål og beslutte, om det er bedst at udsætte visse ændringer eller mål.
- Det hjælper dig med at lære og integrere ny information. Motivation og læring går hånd i hånd. Faktisk ville den simple handling med at forstå, integrere viden i din hjerne og huske ting ikke have nogen mening uden den emotionelle komponent, som nucleus accumbens er involveret i.
- Sex og ernæring. Denne struktur er ikke den eneste relateret til velbehag. Den spiller dog en afgørende rolle (som vi allerede ved) for motivation og det neurokemiske belønningssystem. Det skyldes det faktum, at den er lokaliseret i en dopaminergisk sti. Husk på, at dopamin er en neurotransmitter, der er involveret i velbehag, glæde og afhængighed.
Afslutningsvis stopper hjernen aldrig med at forbløffe os. Dette organ er en perfekt maskine, hvor ethvert lille område har en betydelig funktion. Ikke desto mindre er der ingen del af hjernen, der arbejder alene.
Alle hjernens dele er indbyrdes forbundet, og de afhænger af hinanden for at arbejde sammen i en fascinerende harmoni. Nucleus accumbens er en fantastisk del af denne fascinerende maskine.
Denne tekst er kun til informationsformål og erstatter ikke konsultation med en professionel. Hvis du er i tvivl, så konsulter din specialist.







